Phẫu thuật kết hợp xương đòn cho bệnh nhân tại Trung tâm Y tế huyện Yên Lạc.
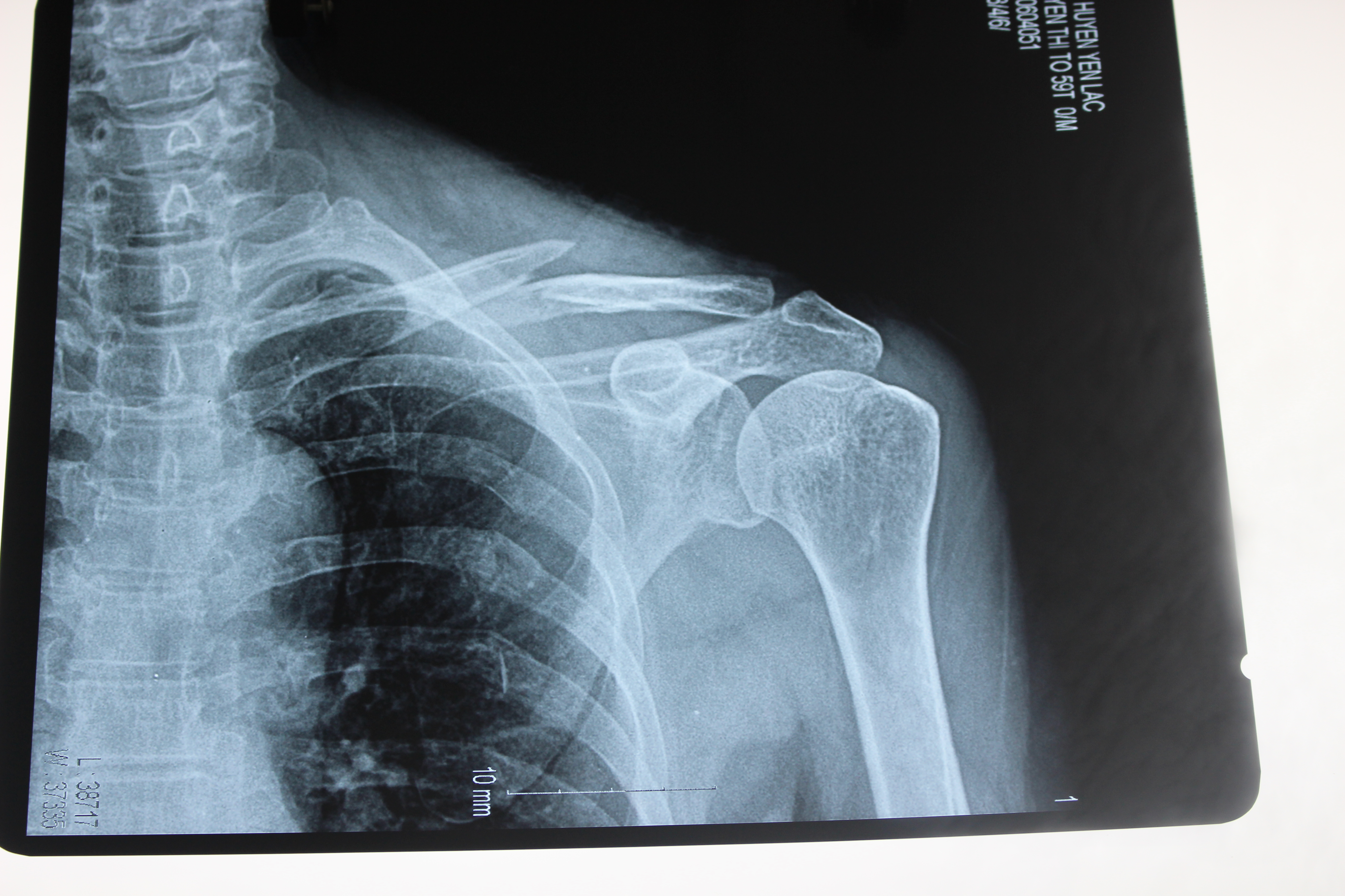
Chiều ngày 5 tháng 6 năm 2016. Tại khoa ngoại tổng hợp gây mê hồi sức- Trung tâm y tế huyện Yên Lạc. Bác sỹ CKI Nguyễn Hoàng Phương cùng ê kíp đã tiến hành phẫu thuật kết hợp xương đòn trái cho bệnh nhân nữ 59 tuổi – Thôn Nho Lẻ – xã Tam Hồng – Huyện Yên Lạc – tỉnh Vĩnh Phúc. Bệnh nhân vào viện với lý do đau vai trái, hạn chế vận động, sau một tai nạn giao thông, kèm theo tiền sử tăng huyết áp đã điều trị nhiều năm. Qua thăm khám và kết quả chụp Xquang cho thấy hình ảnh gẫy 1/3 giữa xương đòn trái. Sau khi tư vấn kỹ cho bệnh nhân và gia đình, bệnh nhân đã được các bác sỹ tiến hành phẫu thuật kết hợp xương đòn trái, sau phẫu thuật bệnh nhân ổn định, đỡ đau nhiều, sức khỏe tiến triển tốt.
Một số hình ảnh phẫu thuật kết hợp xương đòn trái.
















